Factores etiológicos de abscesos periodontales: Una patología emergente. Informe de tres casos

Factores etiológicos de abscesos periodontales: Una patología emergente. Informe de tres casos

Etiological factors of periodontal abscesses: an emerging pathology. A three-case report

Como citar: Díaz-Caballero AJ, Rivera-Peñates DM, Anaya-Guzmán LI. Factores etiológicos de abscesos periodontales: Una patología emergente. Informe de tres casos. Univ Salud. 2022; 24(2):205-11. DOI: 10.22267/rus.222402.273.

Resumen

Introducción: La presencia de abscesos periodontales es la tercera emergencia dental más frecuente (6%-14%). Objetivo: Reportar información sobre diferentes factores etiológicos de absceso periodontal en tres pacientes. Descripción de casos: Primer caso, mujer de 52 años quien acudió a consulta por sangrado espontáneo, al examen clínico se evidenció sangrado al sondaje (SS), presencia de bolsas periodontales (BP) y cálculos (C); como tratamiento se realizó raspado y alisado radicular (RAR), complementado con detoxificación con tetraciclina y tratamiento farmacológico posoperatorio. Segundo caso, hombre de 27 años quien acudió a consulta por agrandamiento de encía, se observó (SS), y (BP); se retiró la lesión y se realizó (RAR). Tercer caso, hombre de 21 años quien acudió a consulta de control, al examen clínico se evidenció presencia de cálculos en órganos dentarios y bolsas periodontales en órganos dentarios 16-17; se utilizó (RAR) complementado con detoxificación con tetraciclina y tratamiento farmacológico posoperatorio. Conclusión: La etiología del absceso periodontal en el primer y último caso se basó en la falta de profundidad durante el raspado y alisado radicular, y en el segundo estuvo relacionado a impactación de alimentos. El identificar la etiología permite determinar diagnóstico, pronóstico y tratamiento ideal.

Palabras clave: Absceso periodontal; diagnóstico; terapéutica.

Abstract

Introduction: Periodontal abscesses are the third most frequent dental emergency (6%-14%). Objective: To describe different etiological factors of periodontal abscesses in three patients. Case description: The first case was a 52-year-old woman who sought treatment due to spontaneous bleeding. During the examination, she revealed bleeding on probing (BP), presence of periodontal pockets (PP), and calculi (C). Scaling and root planning (SRP) was performed as treatment, which was complemented with detoxification with tetracycline and postoperative pharmacological treatment. The second case was a 27-year-old man who came to the clinic due to gum enlargement and showed BP and PP. The lesion was treated and SRP was performed. Finally, the third patient was a 21-year-old male who sought a follow-up consultation. The clinical examination showed the presence of dental calculi and periodontal pockets in teeth 16 and 17. SRP complemented with detoxification with tetracycline and postoperative pharmacology were used as treatments. Conclusion: The etiology of the periodontal abscesses in the first and third cases was based on the lack of depth during root scaling and planning. The cause in the second case was effects of food. Identifying this etiology is useful to achieve proper diagnosis, prognosis and treatment of periodontal abscesses.

Keywords: Periodontal abscess; diagnosis; therapeutics.


Introducción

El absceso periodontal (AP) es una patología que consiste en una lesión supurativa relacionada con un deterioro periodontal y una concentración localizada de líquido purulento a nivel de la pared gingival del saco periodontal, se caracteriza porque en ella se evidencia un predominio de bacterias Gram negativas1. El AP requiere de especial atención debido a que este puede tener un efecto negativo en los órganos dentarios involucrados y por ser un reservorio de bacterias puede expandirse y provocar infecciones en otras zonas anatómicas2. El AP se considera la tercera emergencia dental más común a nivel mundial3,4, con una prevalencia del 6%-14% precedido por el absceso dentoalveolar y la pericoronitis. Este suele presentarse con mayor frecuencia a nivel de órganos dentario multirradiculares4.

La etiología de los AP se asocia con dos grupos principales: los relacionados con bolsas periodontales, y los no relacionados con estas. En el primer caso, la aparición del AP se atribuye a una exacerbación de una periodontitis no tratada o con tratamiento en curso, mientras que, en la segunda, la etiología del AP está vinculada a impactación de alimentos u objetos extraños, malformaciones radiculares, traumatismos a nivel del periodonto e incluso parafunciones como el bruxismo5,6.

El diagnóstico de AP se basa en síntomas revelados por el paciente y signos encontrados durante el examen oral; se puede obtener información adicional a través de una cuidadosa historia clínica dental y un examen radiográfico7. En relación al examen clínico se puede evidenciar hinchazón circunscrita u ovoide a nivel de la encía del órgano dentario afectado, puede presentar movilidad, extrusión, bolsas periodontales, e incluso supuración espontánea, linfadenopatía regional y además, el paciente puede reportar sintomatología dolorosa5,6. El examen radiográfico es útil dependiendo de la ubicación de la lesión debido a que si esta se encuentra a nivel vestibular o palatino/lingual, no se observaran alteraciones visibles6.

La terapia periodontal convencional incluye raspado y alisado radicular (RAR) y/o procedimientos quirúrgicos8. Entre las fases comprendidas dentro del tratamiento periodontal, la primera incluye la prescripción de antibióticos de amplio espectro, la irrigación de solución salina con una jeringa con un extremo romo es opcional y puede ayudar con la eliminación de escombros y el control de la infección. En algunos casos, el tejido excesivo debe ser retirado quirúrgicamente por un dentista. Si el diente afectado es un tercer molar, se puede recomendar la extracción del diente9. El objetivo de esta serie de estudios de caso fue reportar información sobre diferentes factores etiológicos de absceso periodontal en tres pacientes.


Presentación de Caso 1

Paciente femenina de 52 años quien acude a consulta odontológica por presentar sangrado espontáneo e indoloro a nivel de encía de arcada superior, no reporta consumo de medicamentos o antecedentes médicos u odontológicos de importancia. Al examen clínico se observó encía eritematosa, de textura lisa y brillante, de consistencia blanda en arcada superior, presentó sangrado al sondaje (SS) en todos los órganos dentarios presentes en dicha arcada y en algunos de la arcada inferior, se encontró bolsa periodontal (BP) a nivel de dos órganos dentarios en arcada superior y de dos órganos dentarios en arcada inferior, de igual forma se evidenció presencia de cálculos (C) en múltiples órganos dentarios de ambas arcadas dentarias, exposición de furca y sensibilidad al frío en órganos dentarios número 26 y 27. Al examen radiográfico se observa pérdida ósea vertical moderada en órganos dentarios número 18, 13, 12 y 25, pérdida ósea horizontal moderada en órganos dentarios número 26 y 27 y ausencia de órganos dentarios 14,15, 16, 17, 24, 36 y 46 (Figura 1A).

Figura 1.
(A) Radiografía panorámica. Se observa pérdida ósea vertical moderada en órganos dentarios 18, 13, 12 y 25, pérdida ósea horizontal moderada en órganos dentarios 26 y 27. (B) Vista clínica de papila interdental en órganos dentarios 22 y 23. (C) Vista clínica postoperatoria en sector anterosuperior.
Figura 1

El tratamiento que se realizó en este caso, inicialmente fue una fase higiénica el 17-04-2018 (Tabla 1), que se basó en un raspado y alisado radicular (RAR) a campo cerrado en arcada superior, con anestesia tópica en Chispray, a los dos días la paciente presentó lesiones inflamatorias, asintomáticas a nivel de órganos dentarios 22-23-27 (Figura 1B). Para llegar al diagnóstico de absceso periodontal se tuvo en cuenta la presencia de bolsas periodontales preexistentes a nivel de los órganos dentarios afectados en conjunto con los signos clínicos como inflamación, y se descartó el diagnóstico de absceso AP gingival debido a que por lo general esta se encuentra en sitios no asociados con enfermedad periodontal, por lo cual no se presenta bolsa y usualmente se encuentra limitado a encía marginal10. Como tratamiento el día 24-04-2018 se realizó RAR a campo abierto con detoxificación con tetraciclina en órganos dentarios 22-23-25-26-27. Se formuló, amoxicilina cápsulas 500 mg, una cada 8 horas durante 7 días, ibuprofeno tabletas 600, mg una cada 6 horas, por dolor. Se hizo control postoperatorio ocho días después, donde no se observó ninguna alteración intraoral (Figura 1C). A los 15 días siguientes, se realizó extracción de órganos dentarios 26-27, debido a que después del tratamiento los dientes presentaban extrusión, sensibilidad y movilidad avanzada, los cuales fueron tratados, pero no hubo evolución. Además, el pronóstico restaurador era desfavorable para estos dientes.

Tabla 1. Fechas en las que fueron realizados los procedimientos a los pacientes
Fecha Procedimiento
Caso 1 10-04-2018 Llega paciente a consulta odontológica por gingivorragia.
12-04-2018 Se realiza historia clínica de la paciente.
17-04-2018 Se realiza raspado y alisado radicular a campo cerrado en arcada superior.
19-04-2018 Paciente presenta lesiones inflamatorias en órganos dentarios 22-23-27
24-04-2018 Se realiza raspado y alisado radicular a campo abierto con detoxificación con tetraciclina en órganos dentarios 22-23-25-26-27.
01-05-2018 Se realiza control postoperatorio, no se observa ninguna alteración.
15-05-2018 Exodoncia de órganos dentarios 26-27
Caso 2 13-08-2019 Llega paciente a consulta odontológica por agrandamiento gingival y gingivorragia. Se realiza historia clínica del paciente.
16-08-2019 Se retira lesión de órgano dentario 11, posterior a esto se realizó raspado y alisado radicular en órganos dentarios 11-12-13.
24-08-2019 Se realizó control postoperatorio y no se observó ninguna alteración intraoral.
Caso 3 10-01-2019 Llega paciente a consulta odontológica por control. Se realiza historia clínica
14-01-2019 Se realiza raspado y alisado radicular a campo cerrado en arcada superior e inferior.
17-01-2019 Paciente presenta lesión inflamatoria a nivel de órgano dentario 16.
21-02-2019 Se realizó raspado y alisado radicular a campo abierto con detoxificación con tetraciclina en órganos dentarios 15-16-17.
29-02-2019 Se realizó control postoperatorio y no se observaron alteraciones intraorales.

Presentación Caso 2

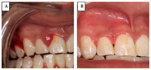
El 13 de agosto de 2019 (Tabla 1) paciente masculino de 27 años de edad acude a consulta odontológica por agrandamiento de encía del órgano dentario 11 (Figura 2A) y sangrado espontáneo, no presenta sintomatología dolorosa. Paciente no reporta consumo de medicamentos o antecedentes médicos u odontológicos de importancia. Al examen clínico se observó encía eritematosa, de textura lisa y consistencia blanda a nivel del órgano dentario 11, en el cual presentó SS y también presentó BP, se evidenció presencia de C subgingivales. Al examen radiográfico no se observó ninguna alteración.

Figura 2.
(A) Vista clínica de papila interdental en órganos dentarios 11 y 12. (B) Vista clínica postoperatoria.
Figura 2

El tratamiento que se realizó en este caso el día 16 del mismo mes, fue retirar la lesión de la encía a nivel del órgano dentario 11, posterior a esto se hizo RAR a campo abierto en órganos dentarios 11, 12, 13. Se formuló, amoxicilina cápsulas 500 mg, una cada 8 horas durante 7 días, ibuprofeno tabletas 600 mg, una cada 6 horas, por dolor. Se realizó control postoperatorio ocho días después, donde no se observó ninguna alteración intraoral y se observó una buena recuperación de los tejidos (Figura 2B). Se descartó el diagnóstico de absceso gingival, dado que generalmente éste se encuentra en sitios no asociados con enfermedad periodontal10, y en este caso como se mencionó anteriormente había presencia de BP y C subgingivales.


Presentación Caso 3

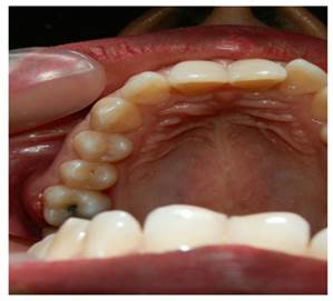
Paciente femenino de 21 años que acude a consulta odontológica por control el día 10 de enero de 2019; no reporta consumo de medicamentos o antecedentes médicos u odontológicos de importancia. Al examen clínico se evidenció presencia de C en órganos dentarios superiores e inferiores y presencia de BP en órganos dentarios 16 y 17. Radiográficamente no se observa ningún hallazgo de importancia. (Figura 3)

Figura 3. Vista clinica de papila interdental en órgano dentario 16 y 17
Figura 3

El tratamiento que se realizó en este caso, inició el día 14 de enero del mismo año (Tabla 1) con una fase higiénica que se basó en un RAR a campo cerrado en ambas arcadas, la paciente acude nuevamente el 17 de enero porque presentó lesión inflamatoria, asintomática a nivel del órgano dentario 16. Se diagnosticó AP debido a la presencia de BP preexistente a nivel del órgano dentario afectado en conjunto con los signos clínicos como inflamación y se descartó el diagnóstico de absceso gingival debido a que generalmente este, se encuentra en sitios no asociados con enfermedad periodontal, por lo cual no se encuentra bolsa y usualmente se limita a encía marginal.

Como tratamiento se realizó RAR a campo abierto con detoxificación con tetraciclina en órganos dentarios 15-16-17 el día 21de febrero de 2019. Se formuló, amoxicilina cápsulas 500 mg, una cada 8 horas, por 7 días, ibuprofeno tabletas 400 mg, una cada 6 horas, por dolor. Se hizo control postoperatorio ocho días después, donde no se observó ninguna alteración intraoral.

Consideraciones éticas

Los pacientes fueron atendidos en la Clínica de la Facultad de Odontología de la Universidad de Cartagena, todos otorgaron consentimiento informado para participar en el estudio, aquellos que fueron sometidos a intervenciones quirúrgicas firmaron un consentimiento informado adicional. Cabe mencionar que los pacientes procedentes de la Facultad de Odontología de la Universidad de Cartagena no hacen parte de un proyecto de investigación, y participaron de manera voluntaria en el estudio.


Discusión

En el primer y tercer caso la etiología del absceso periodontal tiene su base en la falta de profundidad durante el raspado y alisado radicular, lo cual dio paso a la aparición de las lesiones inflamatorias asintomáticas. Mientras que el segundo caso se ve etiológicamente relacionado a impactación de alimentos. Karnik y Baburaj11, en su estudio de caso, no observaron radiográficamente ninguna anomalía a nivel óseo, esto concuerda con el presente artículo donde a pesar de tener una manifestación clínica avanzada no se presentaron anomalías óseas, y el diagnóstico fue realizado con base a las características clínicas presentadas, las cuales fueron hinchazón, edema y enrojecimiento, sin sintomatología dolorosa, que indican la importancia de los hallazgos clínicos sobre los radiográficos al momento de diagnosticar esta patología.

Por otro lado, conforme a Pini-Prato et al.,12 el aspecto más importante de la aplicación local del material descontaminante para el tratamiento de biopelículas bacterianas es que no se usaron antibióticos sistémicos o locales en ninguno de los casos explicados en su artículo, mientras que en los casos de este artículo sí se usaron antibióticos como amoxicilina de 500 mg, cada 8 horas durante 7 días, la cual es una de las penicilinas de amplio espectro, esta actúa frente a bacterias aerobias y anaerobias presentes en la cavidad oral, inhibiendo la formación adecuada de la pared celular bacteriana, ocasionando la muerte del microorganismo susceptible13.

Kaur et al.,14 reportaron un caso clínico donde el aspecto etiológico del absceso periodontal era de origen endodóntico, lo cual no coincide con ninguno de nuestros casos ya que dos son por falta de profundidad al momento de realizar raspado y alisado radicular y uno por impactación de alimentos, por lo que es importante mencionar que el absceso periodontal es una lesión que puede presentarse por múltiples factores.

Dilsiz reportó caso de paciente femenina de 17 años con diagnóstico de absceso periodontal, el cual se asoció etiológicamente a una higiene deficiente en cavidad oral. Como tratamiento, se le recetó antibióticos (amoxicilina 1000 mg, cada 8 horas, 3 días), analgésicos (naproxeno 550 mg, cada 12 horas, 3 días) y se le indicó dos veces al día enjuagues con clorhexidina al 0,12% enjuague bucal durante siete días. Siete días después se le realizó raspado y alisado radicular y diez días después se realizó legrado subgingival. Este manejo de raspado y alisado radicular concuerda con el caso 2, sólo que en este último fue realizado a campo abierto; en cuanto al tratamiento farmacológico este varía, debido a que en este caso fue empleado de manera posquirúrgica. Respecto al tratamiento en los casos 1 y 3 se realizó raspado y alisado radicular a campo abierto con detoxificación con tetraciclina, en cuanto al tratamiento farmacológico este se empleó de manera posquirúrgica. En los tres casos se realizó raspado y alisado radicular a campo abierto y el tratamiento farmacológico fue posquirúrgico, mientras que en el caso expuesto por Dilsiz varía el orden del tratamiento5. El tratamiento dado a los tres pacientes, priorizó las acciones mecánicas locales debido a que estas constituyen la manera eficaz para resolver las infecciones odontogénicas, y las terapias combinadas o complementarias, van ligada a la manifestación clínica o la afectación del estado sistémico del paciente15.

El absceso periodontal puede tratarse con drenaje, raspado de raíz, legrado y administración de antibióticos, y técnicas quirúrgicas de rutina5 como se mostró en los casos anteriores. No existe un proceso o técnica quirúrgica estandarizada para todos los casos. Cada uno de los procedimientos quirúrgicos está diseñado para una situación específica o con un objetivo predeterminado16.


Conclusiones

En el caso 1 y 3 se diagnosticaron abscesos periodontales a nivel de órganos dentarios 22, 23, 27 y en órgano dentario 16 respectivamente, etiológicamente relacionados con la falta de profundidad adecuada al momento de realizar el raspado y alisado radicular, debido al uso de anestesia en Chispray, que no permitió el acceso suficiente a cálculos subgingivales, lo cual desarrolló las lesiones inflamatorias encontradas a los pocos días de aplicar el tratamiento, mientras que en el caso 2 se diagnosticó absceso periodontal a nivel de órgano dentario 11, etiológicamente relacionado con impactación de alimentos, o falta de higiene.

Con lo mencionado anteriormente, es evidente la importancia de conocer la variedad etiológica del AP, la cual puede involucrar desde la combinación de los hábitos del paciente, hasta la conducta terapéutica del odontólogo tratante, tener claro esto implica un mejor sistema preventivo para evitar la aparición de esta lesión.


Referencias

  1. Chen J, Miao X, Xu M, He J, Xie Y, Wu X, et al. Intra-Genomic Heterogeneity in 16S rRNA Genes in Strictly Anaerobic Clinical Isolates from Periodontal Abscesses. PLoS One [Internet]. 2015 [citado 2019 Apr 12]; 10(6):e0130265. Disponible en: https://www.ncbi.nlm.nih.gov/pubmed/26103050
  2. Giannelli M, Materassi F, Lorenzini L, Bani D. Management of Severe Periodontal Abscesses Using a Laser and Light‐Emitting Diode Procedure Adjunctive to Scaling and Root Planing: A Case Series. Clin adv Periodontics [Internet]. 2017 [citado 2019 Jun 10]; 7(3):159-66. Disponible en: https://aap.onlinelibrary.wiley.com/doi/abs/10.1902/cap.2017.160090
  3. Alharbi OA, Ahmad MZ, Agwan AS, Sadaf D. Management of Acute Periodontal Abscess Mimicking Acute Apical Abscess in the Anterior Lingual Region: A Case Report. Cureus [Internet]. 2019 [citado 2019 Jun 20]; 11(9):e5592. Disponible en: https://www.ncbi.nlm.nih.gov/pubmed/31700705
  4. Singh A, Saxena A. The periodontal abscess: A review. J Dent Med Sci [Internet]. 2015 [citado 2019 Apr 15]; 14(11):81-6. Disponible en: https://www.iosrjournals.org/iosr-jdms/papers/Vol14-issue11/Version-3/P0141138186.pdf
  5. Dilsiz A. Acute Periodontal Abscess in an Adolescent Patient: Case Report. Madridge J Dent Oral Surg [Internet]. 2017 [citado 2019 Aug 2]; 2(2):77-9. Disponible en: https://madridge.org/journal-of-dentistry-and-oral-surgery/mjdl-1000118.pdf
  6. Azodo C, Umoh A. Periodontal abscess among patients attending a Nigerian specialist periodontology clinic. Trop J Med Res [Internet]. 2015 [citado 2019 Aug 14]; 19(1):24-8. Disponible en: https://www.researchgate.net/publication/287816191_Periodontal_abscess_among_patients_attending_a_Nigerian_specialist_periodontology_clinic
  7. Alagl AS. Periodontal abscess as a possible oral clinical sign in the diagnosis of undiagnosed diabetes mellitus of elderly in a dental clinic set up - a 7-year cross-sectional study. J Investig Clin Dent [Internet]. 2017 [citado 2019 Dec 3]; 8(3):e12217. Disponible en: https://www.ncbi.nlm.nih.gov/pubmed/27157341
  8. Tsvetanov TS. Periodontal and Periapical Abscess - Rare Case. Int J Case Rep Clin Image [Internet]. 2019 [citado 2020 Feb 5]; 1(2):108. Disponible en: https://www.pubtexto.com/pdf/?periodontal-and-periapical-abscess--rare-case
  9. Laudenbach JM, Simon Z. Common dental and periodontal diseases: evaluation and management. Med Clin North Am [Internet]. 2014 [citado 2020 Feb 14]; 98(6):1239-60. Disponible en: https://www.ncbi.nlm.nih.gov/pubmed/25443675
  10. Alonso B, Serrano C, Herrera D. Diagnóstico de condiciones periodontales agudas: abscesos periodontales y enfermedades periodontales necrosantes. Revista científica de la Sociedad Española de Periodoncia [Internet]. 2020 [citado 2021 May 2]; 6(16):114-35. Disponible en: https://www.sepa.es/web_update/wp-content/uploads/2020/06/Revista-Periodoncia-Cli%CC%81nica_16-1.pdf#page=114
  11. Karnik A, Baburaj MD. Chronic Periodontal Abscess with an Unusual Finding: A Case Report. Clinical Dentistry [Internet]. 2015 [citado 2020 Feb 2]; 9(11):23-6. Disponible en: https://www.researchgate.net/publication/299453340_Chronic_Periodontal_Abscess_with_an_Unusual_Finding_A_Case_Report
  12. Pini-Prato G, Magnani C, Rotundo R. Treatment of Acute Periodontal Abscesses Using the Biofilm Decontamination Approach: A Case Report Study. Int J Periodontics Restorative Dent [Internet]. 2016 [citado 2020 Mar 7]; 36(1):55-63. Disponible en: https://www.ncbi.nlm.nih.gov/pubmed/26697553
  13. Cubas-Jaeger JL, Asmat-Abanto AS. Amoxicilina para prevenir la infección postexodoncia de terceros molares incluidos: ensayo clínico aleatorizado. Rev Esp Cir Oral Maxilofac [Internet]. 2016 [citado 2021 May 3]; 38(4):188-92. Disponible en: https://www.sciencedirect.com/science/article/pii/S1130055815000362
  14. Kaur S. Treatment of a periodontal abscess by modified kirkland flap combined with osseous regenerative therapy utilising an alloplastic graft: a case report. IJCDC [Internet]. 2017 [citado 2020 Mar 15]; 7(2):990-3. Disponible en: https://ijcdc.com/treatment-of-a-periodontal-abscess-by-modified-kirkland-flap-combined-with-osseous-regenerative-therapy-utilising-an-alloplastic-graft-a-case-report/
  15. Esparza-Loredo SB, Aranda-Romo S, Noyola-Frías MÁ, Sánchez-Vargas LO. Principios fundamentales para el diagnóstico, manejo y tratamiento de las infecciones odontogénicas. Revisión de la literatura. Rev Odont Mex [Internet]. 2020 [citado 2021 May 2]; 24(1):9-19. Disponible en: https://www.medigraphic.com/pdfs/odon/uo-2020/uo201b.pdf
  16. Salinas M, Millán R, León J. Abscesos del periodonto: Conducta odontológica. Acta odontol Venez [Internet]. 2008 [citado 2021 May 2]; 46(3):346-60. Disponible en: https://ve.scielo.org/scielo.php?script=sci_arttext&pid=S0001-63652008000300022&lng=es