Síndrome de OHVIRA, a propósito de un caso

A case of OHVIRA syndrome

Resumen

Introducción:

El síndrome de obstrucción hemivaginal y anomalía renal ipsilateral (OHVIRA, por sus siglas en inglés) o también llamado síndrome de Herlyn-Werner-Wunderlich es una rara malformación mulleriana que consiste en la presencia de útero didelfo, obstrucción hemivaginal y anomalía renal ipsilateral. La incidencia de malformaciones mullerianas son del 2 al 3%, y la menos común es el síndrome de OHVIRA.

Objetivo:

Descripción de un caso excepcional de alteraciones mullerianas poco conocido.

Presentación del caso:

Adolescente de 14 años con historia de dolor pélvico, dismenorrea e infecciones urinarias a repetición. Se estudió con gammagrafía renal que reveló agenesia renal derecha y resonancia magnética pélvica que mostró útero didelfo con hematocolpos derechos. Se confirmaron los hallazgos por laparoscopia diagnóstica.

Conclusiones:

Este síndrome es poco conocido. Debe sospecharse en casos de agenesia renal, dolor pélvico crónico y alteraciones menstruales en pacientes postpuberes. El abordaje es multidisciplinario.

Abstract

Introduction:

The obstructed hemivagina and ipsilateral renal anomaly (OHVIRA) syndrome, also known as the Herlyn-Werner-Wunderlich syndrome, is a rare müllerian anomaly characterized by didelphic uterus, hemivaginal obstruction, and ipsilateral renal anomaly. The incidence of müllerian malformations is 2% - 3%, OHVIRA being the least common of these cases.

Objective:

To describe an exceptional case of a müllerian disorder.

Case presentation:

A 14-year-old adolescent with a history of pelvic pain, dysmenorrhea, and recurrent urinary infections. Renal gammagraphy analysis revealed right renal agenesis, and pelvic magnetic resonance imaging showed a didelphic uterus with right hematocolpos. These findings were confirmed by diagnostic laparoscopy.

Conclusions:

This syndrome is not well known. Renal anegesis, chronic pelvic pain, and menstrual abnormalities in post-pubertal patients must be presumed as indicators of OHVIRA, whose treatment requires a multidisciplinary approach.


Introducción

El síndrome de obstrucción hemivaginal y anomalía renal ipsilateral (OHVIRA) o también llamado síndrome de Herlyn-Werner-Wunderlich es una rara malformación mulleriana que consiste en la presencia de útero didelfo, obstrucción hemivaginal y anomalía renal ipsilateral 1 , descrito inicialmente de manera parcial en 1922 2 . El compromiso renal se da por la relación morfogenética estrecha en el desarrollo de los conductos mullerianos y mesonéfricos en la novena semana de gestación 3 . Se estima una incidencia de 1 en 2000 o 1 en 28.000 casos 4 , 5 . El 40% de las anomalías mullerianas están asociadas con anomalías renales 6 . Se presenta a continuación el caso de una paciente 14 años con dolor pélvico crónico, hemorragia uterina anormal e infecciones urinarias a repetición.

Descripción del caso

Adolescente de 14 años remitida de la consulta ambulatoria de pediatría al servicio de genética con antecedentes, padres no consanguíneos, origen y procedencia de Popayán, producto de una gestación normal, sin complicaciones, sin exposición a tóxicos, con neurodesarrollo normal, diagnosticada por neuropediatría con migraña de difícil control en manejo con ácido valproico. No había requerido intervenciones quirúrgicas. Sin antecedentes familiares de anomalías congénitas. Se refirió al servicio de genética por historia de infecciones urinarias a repetición desde los 9 meses de vida, dolor pélvico crónico con sangrado uterino anormal desde los 12 años. Fue inicialmente tratada con progestágenos a los 11 años, sin mejoría de hemorragia uterina, por lo que se solicitó ecografía pélvica que mostró masa dependiente de útero, con hallazgo incidental de agenesia renal derecha. Se deriva a genética por estos hallazgos. Al examen físico sin facies dismórficas, genitales externos femeninos de tamaño y forma normal. Examen físico general sin otras anormalidades.

Evolución y resultados de pruebas

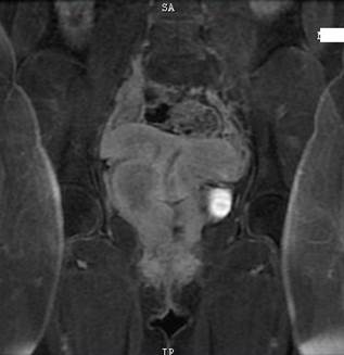
La gammagrafía renal confirmó agenesia renal derecha sin cambios cicatrízales. En la resonancia magnética de pelvis se reportó útero didelfo, vagina septada con oclusión y acumulación de material hemático en espacio lateral derecho (Figura 1). La prueba de embarazo monoclonal fue negativa, el antígeno carcinoembrionario-CEA <0,50 ng/ml (normal) y el antígeno de cáncer ovárico CA 125 en 20,8 U/ml (normal). Por los hallazgos de masa en útero, fue llevada a laparoscopia diagnóstica confirmando los hallazgos imagenológicos. Actualmente en proceso de autorización para septoplastia de vagina. Por el momento sin nuevos episodios de infección urinaria, pero con persistencia de hemorragia uterina anormal.

Figura 1. Resonancia magnética de pelvis en T2 coronal. Se observa útero didelfo y tabique vaginal con oclusión del lumen derecho por presencia de sangre
v22n3a10image001.jpg

Consideraciones éticas

Este trabajo contó con el aval del comité de ética del Hospital Universitario San José de Popayán para la publicación del caso y tuvo en cuenta las normas vigentes sobre investigación en seres humanos, contempladas en la Declaración de Helsinki de la Asociación Médica Mundial y la Resolución 8430 de 1993 del Ministerio de Salud de Colombia. De igual manera se obtuvo el consentimiento informado de su tutora legal para la elaboración de historia clínica, recolección de datos e imágenes fotográficas y posterior publicación.

Discusión

La triada clásica del síndrome de OHVIRA consiste en: útero didelfo, obstrucción en hemivagina y agenesia renal ipsilateral 7 , pero pueden tener otras anomalías renales como anomalías ureterales, riñón pélvico, implantación de uréter ectópico, incluso en vagina 8 . El 65% del compromiso vaginal es derecho 6 , tal como lo presenta el caso. Generalmente los síntomas se presentan en la menarca, pero se han descrito casos en edades pre-púberes 2 . En las pacientes pre-púberes destacan síntomas como dolor abdominal e infecciones urinarias 9 . Pueden estar totalmente asintomáticos hasta edades de 40 o 50 años 10 . Este síndrome podría estar relacionado con los genes WNT, HOX y Nodal/Lefty los cuales intervienen en el desarrollo urogenital que a través de vías complejas conducen a la formación, patrón y lateralidad de las estructuras 11 . Sin embargo, el mecanismo exacto se desconoce.

La presentación clínica clásica es de pacientes post-púberes en los que se presenta dolor abdominal cíclico, relacionado con la menstruación 12 , sangrado vaginal irregular, hallazgos de masa vaginal con agenesia u otra anomalía renal 13 , 14 . Entre otras anomalías asociadas están la estenosis aórtica, los defectos septales, el páncreas anular y la fusión de vértebras lumbares 7 . En nuestro caso los síntomas predominantes fueron infecciones urinarias y hemorragia uterina anormal, con presentación pre y postpuberal respectivamente. Nos llamó la atención el tratamiento con hormonas para regular el ciclo menstrual sin imagen diagnostica al inicio. Por otra parte, en algún momento presento un sincope, pero no se estableció un diagnostico estenosis aortica por ecocardiograma realizado.

El diagnóstico es clínico e imagenológico. Inicialmente puede ser llevada a cabo ecografía pélvica abdominal por su disponibilidad y relativo bajo costo 15 , 16 . La resonancia magnética juega un papel importante en la caracterización el útero didelfo, la hemivagina obstruida y la agenesia renal ipsilateral. Son características de los hallazgos en la MRI la iso/alta Señal T1W y alta señal T2W que indican que la colección de líquido pélvico es contigua al endocérvix, junto con el útero didelfo y riñón ausente en el lado afectado 17 . Se han reportado casos con resonancia en 3D que mejoran la planificación quirúrgica 18 . Sin embargo, el gold estándar diagnóstico lo constituye la laparoscopia diagnostica como es el caso de nuestro paciente. No se requieren otros estudios adicionales.

Las complicaciones del síndrome de OHVIRA están dadas por la acumulación de líquido en la cavidad uterina y en el conducto vaginal que pueden llevar a hematocolpos, piosalpinx 17 y hasta choque séptico secundario por piocolpos 19 . Dadas las dificultades en el aseguramiento en salud, hasta ahora no ha sido posible corrección quirúrgica en nuestro caso. Afortunadamente no ha tenido las mencionadas complicaciones ni nuevos episodios de infección urinaria.

El manejo de estas pacientes debe ser multidisciplinario. Dependiendo del tipo de complicaciones se dará el tratamiento, generalmente quirúrgico en caso de abscesos y hematomas en útero. Se han utilizado técnicas de radiología intervencionista para drenaje de abscesos o hematomas en la hemivagina obstruida 20 . En algunas series se ha reportado que hasta el 16% de los pacientes pre-púberes con síndrome de OHVIRA requieren cirugía a los 31 meses por incremento de infecciones urinarias y distensión vaginal no controlada 8 .

En caso de ser necesaria, para la corrección definitiva se prefiere el abordaje laparoscópico. Los procedimientos más frecuentemente utilizados por esta vía son las septostomías vaginales y drenajes de hematomas.

Conclusiones

Los casos de anomalías mullerianas son poco prevalentes, pero suelen estar relacionadas con alteraciones renales debido a su origen embrionario, por lo que ante la presencia de hallazgos anormales morfológicos a nivel renal como en este caso, es importante realizar tamizaje de este tipo de patologías antes de que las pacientes lleguen a la pubertad, para evitar complicaciones. Es necesario recalcar la importancia de una anamnesis dirigida en casos de dolor pélvico crónico o hemorragia uterina anormal, realizar un examen físico completo que incluya área genital y una ecografía pélvica asociada a una ecografía renal para descartar complicaciones en el área urogenital a largo plazo.

Agradecimientos

A la madre de la menor por la colaboración en la información. Al Dr. Felipe Rengifo por la interpretación de las imágenes de resonancia magnética.

Referencias

1 Bermejo N, Isusi M, Diez F. Solución del caso 19: Síndrome de Herlyn-Werner-Wunderlich. Radiología. 2010;52(4):366-8. DOI: 10.1016/j.rx.2008.10.016

2.  Saltzman A, Roth C. A Curious Case of Continuous Incontinence. Urology. 2016;92:113-6. DOI: 10.1016/j.urology.2016.02.005

3 Mandava A, Prabhakar R, Smitha S. OHVIRA Syndrome (obstructed hemivagina and ipsilateral renal anomaly) with Uterus Didelphys, an Unusual Presentation. J Pediatr Adolesc Gynecol. 2012;25(2):e23-5. DOI: 10.1016/j.jpag.2011.11.004

4.  González Y, Delgado R, Siles A, Izquierdo B, Rihuete M. Diagnóstico prepuberal del síndrome de OHVIRA: ¿es posible?. Anales de Pediatría. 2019;90(4). p. 244-245. DOI: 10.1016/j.anpedi.2018.04.010

5 Aswani Y, Varma R, Choudhary P, Gupta R. Wolffian Origin of Vagina Unfolds the Embryopathogenesis of OHVIRA (Obstructed Hemivagina and Ipsilateral Renal Anomaly) Syndrome and Places OHVIRA as a Female Counterpart of Zinner Syndrome in Males. Pol J Radiol. 2016;81:549-56. DOI: 10.12659/PJR.898244

6.  Santos X, Dietrich J. Obstructed Hemivagina with Ipsilateral Renal Anomaly. J Pediatr Adolesc Gynecol. 2016;29(1):7-10. DOI: 10.1016/j.jpag.2014.09.008

7 Goswami D, Sharma A, Vyas V, Vasudevan B. Association of OHVIRA syndrome with aortic stenosis and block vertebra: A case report and anaesthetic management. J Obstet Gynaecol. 2016;36(6):764-6. DOI: 10.3109/01443615.2016.1157156

8.  Han J, Lee Y, Im Y, Kim S, Lee M, Han S. Clinical Implications of Obstructed Hemivagina and Ipsilateral Renal Anomaly (OHVIRA) Syndrome in the Prepubertal Age Group. PLOS ONE. 2016;11(11):e0166776. DOI: 10.1371/journal.pone.0166776

9.  Grant C, Bayne C, Kern N, Peters C. Atypical presentation of obstructed hemivagina and ipsilateral renal anomaly. Urol Case Rep. 2018;19:70-1. DOI: 10.1016/j.eucr.2018.05.011

10.  Tsai J, Tsai S. Case Report: A Rare Cause of Complicated Urinary Tract Infection in a Woman with Herlyn-Werner-Wunderlich Syndrome. Iran Red Crescent Med J. 2016;18(11):e40267 https://www.ncbi.nlm.nih.gov/pmc/articles/PMC5294448/

11.  Friedman M, Aguilar L, Heyward Q, Wheeler C, Caldamone A. Screening for Mullerian anomalies in patients with unilateral renal agenesis: Leveraging early detection to prevent complications. J Pediatr Urol. 2018;14(2):144-9. DOI: 10.1016/j.jpurol.2018.01.011

12 Echebarria O, Landin A, Canales V, López A, Morales P, de Pablo J. Síndrome de Herlyn-Werner-Wunderlich. Prog Obstet Ginecol. 2012;55(8):405-7. DOI: 10.1016/j.pog.2011.06.017

13 Fuentes A, Gómez M, López E, Belmonte L, González G. Síndrome de Herlyn-Werner-Wunderlich. Prog Obstet Ginecol. 2015;58(1):20-4. DOI: 10.1016/j.pog.2014.07.001

14.  Gungor F, Bastu E, Gulsen G, Kurek M, Akhan S. OHVIRA syndrome presenting with acute abdomen: a case report and review of the literature. Clin Imaging. 2014;38(3):357-9. DOI: 10.1016/j.clinimag.2013.12.011

15.  Al Ghafri A, Fida A, Al-Gharras A. Obstructed Hemivagina and Ipsilateral Renal Anomaly (OHVIRA) Syndrome. Oman Med J. 2018;33(1):69-71. DOI: 10.5001/omj.2018.13

16.  Mishra N, Ng S. Sonographic diagnosis of Obstructed Hemivagina and Ipsilateral Renal Anomaly Syndrome: a report of two cases. Australas J Ultrasound Med. 2014;17(4):153-8. https://www.ncbi.nlm.nih.gov/pmc/articles/PMC5024931/

17 Bhoil R, Ahluwaila A, Chauhan N. Herlyn Werner Wunderlich Syndrome with Hematocolpos: An Unusual Case Report of Full Diagnostic Approach and Treatment. Int J Fertil Steril. 2016; 10(1): 136-140 DOI: 10.22074/ijfs.2016.4779

18.  Tomlin K, Barnes C, Van Leeuwen K, Williamson A. Three-Dimensional Technology to Diagnose Unilateral Cervical Atresia in Obstructive Hemivagina with Ipsilateral Renal Anomaly: A Case Report and Review of the Literature. J Pediatr Adolesc Gynecol. 2018;31(1):67-70. DOI: 10.1016/j.jpag.2017.07.003

19 Kamio M, Nagata C, Sameshima H, Togami S, Kobayashi H. Obstructed hemivagina and ipsilateral renal anomaly (OHVIRA) syndrome with septic shock: A case report. J Obstet Gynaecol Res. 2018;44(7):1326-9. DOI: 10.1111/jog.13656

20.  Cox D, Ching B. Herlyn-Werner-Wunderlich syndrome: a rare presentation with pyocolpos. J Radiol Case Rep. 2012; 6(3):9-15. DOI: 10.3941/jrcr.v6i3.877

Notas

Como Citar: Paz-Montañez JJ, Gaitán-Guzmán LF, Acosta-Aragón MA. Síndrome de OHVIRA, a propósito de un caso. Univ. Salud. 2020;22(3):288-291. DOI: https://doi.org/10.22267/rus.202203.201