contadores
Ir al menú de navegación principal Ir al contenido principal Ir al pie de página del sitio

Research Article

Vol. 36 Núm. E (2019): Edición especial 50 años, Junio - Diciembre 2019

Hystometric evaluation of nickel chronic exposure effects on large instestine of adult Wistar male rats

DOI
https://doi.org/10.22267/rcia.1936E.103
Enviado
octubre 16, 2019
Publicado
2019-10-16

Resumen

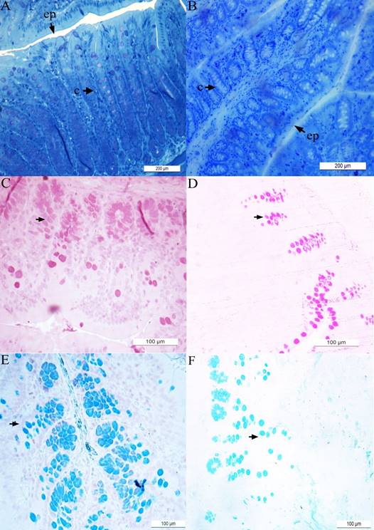
The ingestion of considerable amounts of water or food contaminated with nickel can be very toxic. The present work was conducted aiming to evaluate the effects of nickel exposures on ascending colon of adult Wistar male rats at hystometric level. We used 12 animals that were divided in a control (ingested uncontaminated water) and a nickel-contaminated (i.e., 25 mg de nickel/L of water) groups. Nickel chloride was offered in declorinated water and the experiment had a 56 days exposure period. A portion of the ascending colon was removed of the animals and subjected to hystological labelling processes using blue toluidin (for general hystometric description), Alcian Blue (AB, for acid mucins) and periodic acid-Schiff (PAS) technique (for neutral mucins). The potential differences between groups were desgined by applying the Whitney test and t test (p < 0.05). The crypts were smaller for the nickel-contaminated group, even though these organism exhibited broader and higher crypts. Nickel-contaminated animals exhibited a smaller amount of calyceform cells with AB and PAS positive reactions as well as a less mucus quantities when compared with nickel-uncontaminated animals. Such reductions on the amount of calyceform cells with AB and PAS positive reactions may be related wiht the shallower crypts, which possibly reduced the synthesis and secretion of mucins, compromissing the functional aspects (e.g., lubrification and intestinal mucosa protection) of the nickel-contaminated large intestines. Interestingly, the wider and higher crypts and higher epithelium collumn on the nickel-contaminated animals may represent a relevant trade-off for the intestinal mucosa protection.

Citas

  1. Ahmad, M. S. & Ashraf, M. (2011). Essential roles and hazardous effects of nickel in plants. Rev. Environmental Contamination and Toxicology. 214: 125-167. doi: http://dx.doi.org/10.1007/978-1-4614-0668-6_6
  2. Bertini, I., Sigel, A. & Sigel, H. (2001). Handbook on Metalloproteins. 1th ed. New York: Marcel Dekker. 1182p.
  3. Cempel, M., Janicka, K. (2002). Distribution of nickel, zinc, and copper in rat organs after oral administration of nickel (II) chloride. Biological Trace Element Research. 90 (1-3): 215-226. doi: 10.1385/BTER:90:1-3:215
  4. Clancy, H. & Costa, M. (2012). Nickel: A pervasive carcinogen. Future Oncology. 8 (12): 1507–1509. doi:10.2217/fon.12.154
  5. Corfield, A.P., Myerscough, N., Longman, R., Sylvester, P., Arul, S. & Pignatelli, M. (2000). Mucins mucosal protection in the gastrointestinal tract: new prospects for mucins in the pathology of gastrointestinal disease. Gut. 47 (4): 589-594. doi: http://dx.doi.org/10.1136/gut.47.4.589
  6. Dieter, M. P., Jameson, C. W., Tucker, A. N. (1988). Evaluation of tissue disposition, myelopoietic, and immunologic responses in mice after long-term exposure to nickel sulfate in the drinking water. Journal of Toxicology Environmental Health. 24 (3): 356-372. doi: 10.1080/15287398809531167
  7. Domshlak, M. G., Elakov, A. L., Osipov, A. N. (2005). Genetic effects induced by nickel sulfate in germline and somatic cells of WR mice. Russian Journal of Genetics. 41(7): 728–734
  8. EMEA - Europe, the Middle East and Africa. (2008). Guideline on the Specification Limits for Residues of Metal Catalysts ormetal Reagents, European Medicines Agency. Retrieved from https://www.ema.europa.eu/en/documents/scientific-guideline/guideline-specification-limits-residues-metal-catalysts-metal-reagents_en.pdf.
  9. Filipe, M. I. (1969). Value of histochemical reactions for mucosubstances in the diagnosis of certain pathological conditions of the colon and rectum. Gut. 10(7): 577-586. doi: http://dx.doi.org/10.1136/gut.10.7.577
  10. Finnie, I.A., Dwarakanath, A.D., Taylor, B.A. & Rhodes, J.M. (1995). Colonic mucins synthesis is increased by sodium butyrate. Gut. 36(1): 93-99. doi: http://dx.doi.org/10.1136/gut.36.1.93
  11. Gartner, L.P. & Hiatt, J.L. (2017). Tratado de histologia. 4th ed. Rio De Janeiro: Elsevier. 325p.
  12. Gaudier, E., Rival, M., Buisine, M.P., Robineau, I. & Hoebler, C. (2009). Butyrate enemas upregulate Muc genes expression but decrease adherent mucus thickness in mice colon. Physiological research. 58 (1): 111-119.
  13. Gerbino, E., Mobili, P., Tymczyszyn, E., Frausto-Reyes, C., Araujo-Andrade, C. & Gómez-Zavaglia, A. (2012). Use of Raman spectroscopy and chemometrics for the quantification of metal ions attached to Lactobacillus kefir. Journal of applied microbiology. 112 (2): 363-371. doi: 10.1111/j.1365-2672.2011.05210
  14. Gill, S., Kavanagh, M., Cherry, W., Bourque, C., Caldwell, D., Wang, G., Bondy, G. (2002). A range-finding 90-day oral (gavage) toxicity study in Fischer 344 rats with nickel sulfate hexahydrate. Food. Chem. Toxicol. 111: 341-355. doi: 10.1016/j.fct.2017.10.055
  15. Glotzer, D.J., Glick, M.E. & Goldman, H. (1981). Proctitis and colitis following diversion of fecal stream. Gastroenterology. 80 (3): 438-441.
  16. Gonzalez, K.R. (2016). Toxicologia do Níquel. Revista intertox de toxicologia risco ambiental e sociedade. 9 (2): 30-54.
  17. Haber, L.T., Erdreicht, L., Diamond, G.L., Maier, A.M., Ratney, R., Zhao, Q. & Dourson, M.L. (2000). Hazard identification and dose response of inhaled nickelsoluble salts. Regul Toxicol Pharmacol. 31 (2): 210-30. doi:10.1006/rtph.2000.1377
  18. Hoebler, C., Gaudier, E., De Coppet, P., Rival, M. & Cherbut, C. (2006). MUC genes are differentially expressed during onset, maintenance of inflammation in dextran sodium sulfate-treated mice. Dig Dis Sci. 51 (2): 381-389. doi: http://dx.doi.org/10.1007/s10620-006-3142-y
  19. Keli, E., Bouchoucha, M., Devroede, G., Carnot, F., Ohrant, T., Cugnenc, P.H. (1997) Diversion-related experimental colitis in rats. Dis Colon Rectum. 40 (2): 222-228.
  20. Kim, Y.S. & Gum, J.R. (1995). Diversity of mucin genes, structure, function, and expression. Gastroenterology. 109 (3): 999-1013.
  21. Lowe, J.S. & Anderson, P.G. (2015). Stevens & Lowe´s Human Histology. 4th ed. Philadelphia: Elsevier Mosby. 429p.
  22. Mello, R.O., Fonte, F.P., Silva, C.M.G., Pereira, J.A., Margarido, N.F. & Martinez, C.A.R. (2012). Avaliação do número de células caliciformes nas criptas da mucosa colônica com e sem trânsito intestinal. Revista do Colégio Brasileiro de Cirurgiões. 39 (2): 139-45. doi: 10.1590/S0100-69912012000200010
  23. Monachese, M., Burton, J.P. & Reid, G. (2012). Bioremediation and tolerance of humans to heavy metals through microbial processes: a potential role for probiotics. Appl. Environ. Microbiol. 78 (18): 6397-6404. doi: http://dx.doi.org/10.1128/AEM.01665-12
  24. Nielsen, F.H. & Ollerich, D.A. (1974). Proceedings: Nickel: a new essential trace elemento. Federation proceedings. 33 (6): 1767-1772.
  25. Obone, E., Chakrabarty, S. K., Bai, C., Malick, M. A., Lamantagne, L., Subramanian, K. S. (1999). Toxicity and bioaccumulation of nickel sulphate in Sprague-Dawley rats following 13 weeks of subchronic exposure. Journal of Toxicology and Environmental Health. 57 (6): 379-401
  26. Oga, S., Camargo, M. M. A., Batistuzzo, J. A. O. (2008). Fundamentos de Toxicologia. 4 th ed. São Paulo: Atheneu. 677p.
  27. Rocha, C.H.B. & Azevedo, L.P. (2015). Assessing the presence of heavy metals in surface Waters of the São Mateus Brook Basin, Juiz de Fora (MG), Brazil. Revista Espinhaço. 4 (2): 33-44.
  28. Schmidt, M. & Goebeler, M. (2011). Nickel allergies: paying the toll for innate immunity. J. Mol. Med. (Berl). 89 (10): 961-970. doi: 10.1007/s00109-011-0780
  29. Sunderman, F.W., Hopfer, S.M., Sweeney, K.R., Marcus, A.H., Most, B.M. & Creason, J. (1989). Nickel absorption and kinetics in human volunteers. Proc Soc Exp Biol Med. 191(1): 5-11. doi: 10.3181/00379727-191-42881

Descargas

Los datos de descargas todavía no están disponibles.